Smile Gallery

Before and After Smiles from Priest Dental

Schedule an appointment

Transformed Smiles

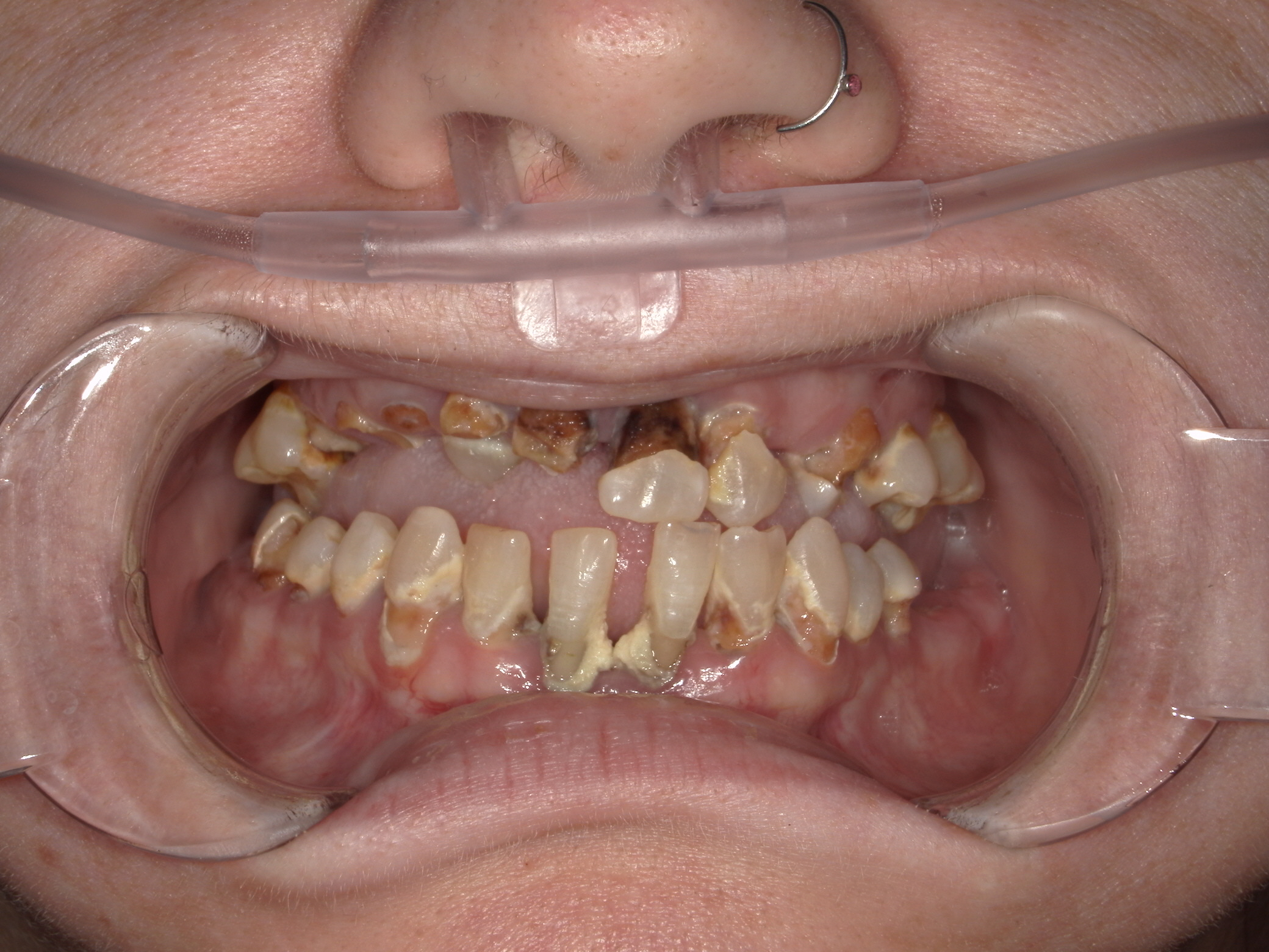
Before

Close-up of a person's mouth showing severely decayed and discolored teeth with a nasal cannula in place.

After

Close-up of a person smiling showing straight, white teeth and natural lips.

Before

Close-up of a person's mouth showing missing upper front teeth and inflamed gums.

After

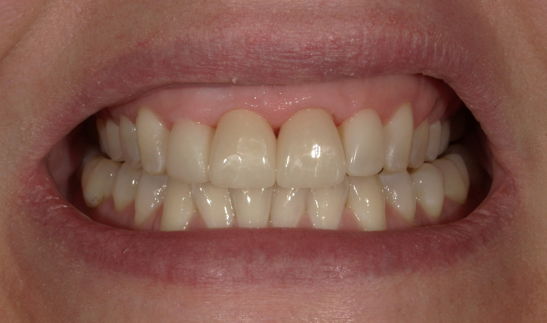
Close-up of a person's smile showing upper and lower teeth, with slight redness on the gums near upper teeth.

Before

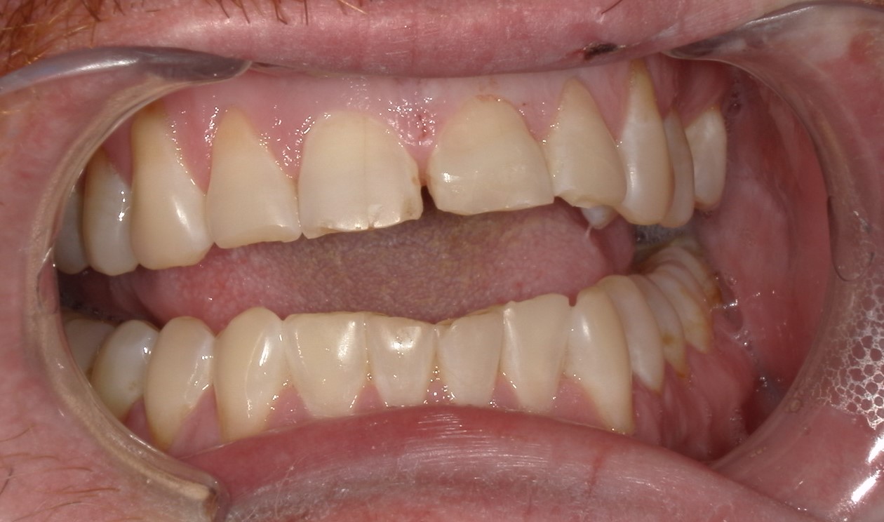
Close-up of an open mouth showing chipped and worn upper front teeth with natural lower teeth.

After

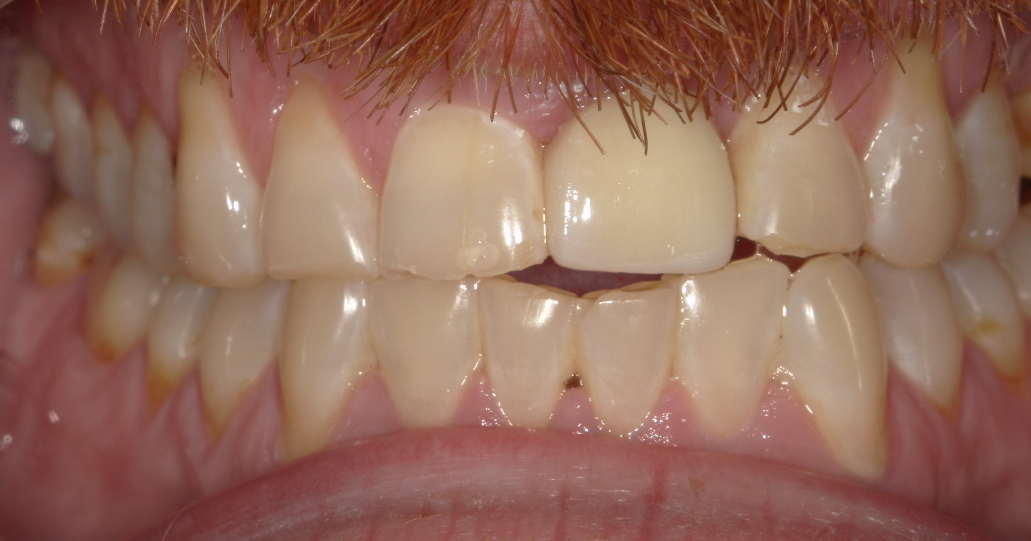
Close-up of upper and lower front teeth with a dental implant visible on the upper right central incisor and minor discoloration on some teeth.

Before

Close-up of human teeth with discoloration, plaque stains, and a missing front tooth.

After

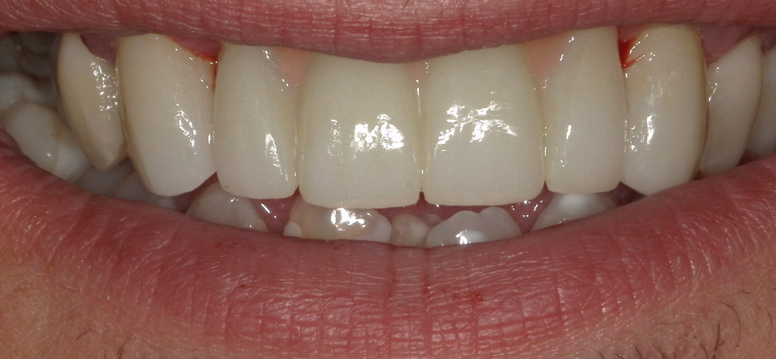
Close-up of a person's smile showing clean, well-aligned teeth and healthy gums.

The Next Step

Have questions? Need help? Call us at (419) 289-1813 or schedule online - we’re here to make it easy and support you every step of the way!